Early Detection with Unmatched Care

At Bedford Breast Center in Beverly Hills, early detection is the key to optimal breast health.

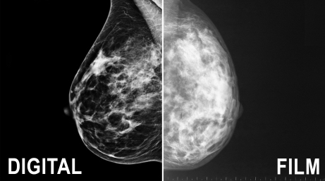
Our center offers the most advanced imaging technologies. We are the only facility in the state of California offering both Vera Scan Breast CT and Contrast Enhanced Mammography (CEM). With precise imaging and a compassionate approach, we help identify changes in breast tissue early when treatment is most effective.

Built for Patients, Not for Systems

Our Compassionate Team of Experts

Our breast surgeons, imaging technologists, and radiologists are among the most respected in California, combining clinical expertise with compassion. From diagnosis through recovery, Dr. Memsic, Dr. Richardson, Dr. Cassileth, and Dr. Killeen deliver world-class care rooted in trust, communication, and respect for every woman’s journey.

Why Choose Bedford Breast Center

They make you wait. We walk you in.

Unlike large hospital systems, we provide same-day appointments, minimal wait times, and direct communication with your physician. Led by breast cancer surgeons Dr. Leslie Memsic and Dr. Heather Richardson, and plastic surgeon Dr. Lisa Cassileth, our center is designed for comfort and personalized care throughout the entire process.

What to Expect at Your Visit

Your mammogram at Bedford Breast Center is designed to be efficient and comfortable.

After changing into a gown, you will be guided through the imaging process by our experienced technologists, who minimize discomfort and explain each step. Most screenings take less than 20 minutes, and your results are reviewed promptly by our in-house radiology team.

Advanced 3D Mammography for Every Woman

What makes our screening different

Our 3D mammograms, contrast-enhanced mammograms, and no-compression Vera Scan Breast CT provide more detailed imaging than traditional 2D mammograms, helping detect even the smallest abnormalities. Our advanced technologies offer more accuracy and comfort for patients with dense breast tissue, prior surgery, or implants.

I went to Bedford Breast Center for my mammogram today. The Mammo Technologist Carmen was outstanding! She was very kind, professional and informative about the exam. I had a great experience and would recommend her to anyone. Terrific staff and facility all around.”

Allison G. - Google Review

Prevention, Diagnosis, and Treatment Under One Roof

Bedford Breast Center offers comprehensive services, including prevention, diagnosis, and treatment, ensuring that every patient receives personalized and continuous care. Whether you’re here for your first screening mammogram or undergoing follow-up testing, our team of radiologists, surgeons, and providers works together to deliver answers quickly and guide your next steps.

FAQs

Most women begin screening at age 40, though earlier or more frequent screenings may be recommended if you have a family history or higher risk factors.

Our 3D technology uses gentle compression for a quick and comfortable experience.

Our skilled technologists utilize specialized techniques to ensure safe and clear imaging with implants.

Our team will guide you through any additional testing or next steps with compassionate care.

Patient-Centered, Holistic Care

We believe breast care should treat the person, not just the diagnosis. Our holistic model supports prevention and education, as well as surgical planning and emotional support. We create a calm, personalized experience that empowers women to take charge of their breast health.

Schedule an Appointment

Use our online contact form to schedule your appointment in Beverly Hills. Our dedicated team is here to provide the most advanced breast cancer imaging available.